As everyone knows, people don’t have completely idle organs, even the appendix has its effect.
The pancreas is easy to be overlooked, but it plays the role of the "supervisor of human endocrine.
1.Master insulin secretion.
The human pancreas cannot be damaged. If the pancreas is diseased, diabetes and diabetic complications will follow one after another, and human life will be in jeopardy.
2.Control human digestive enzymes
Food needs to be digested to bring energy to the human body. The function of the enzymes secreted by the pancreas is second only to those secreted by the liver. The digestive enzymes and alkaline liquids secreted by the pancreas are the protagonists of food digestion. The food is pre-digested to a large extent. In order to maximize the digestive function of the small intestine. Generally, people with diseased pancreas may have symptoms such as abdominal pain, flatulence, and weight loss.
3.Control the human body and exocrine function
Not only enzymes, but the pancreas also interferes with the secretion of the body and the body. Diseases of the pancreas may involve other organs such as the heart, kidneys, blood vessels, etc. The common manifestations are dry skin, frequent urination, blurred vision, and no energy to rest. If pancreatic tumors occur Festering, nearly 25% of patients will have itchy skin.
According to medical statistics, pancreatic cancer is a tumor with a high degree of deterioration. It is usually at an advanced stage after being discovered. Even if surgery or other treatments are performed, the effect is poor. The 5-year survival rate is less than 1%.
Regular inspections of the pancreas can detect lesions in time, treat them as early as possible, improve the cure rate, and allow patients to return to a normal life.
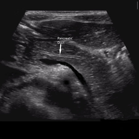
Organs with so many functions are not too big, and hidden deep in the abdomen of the human body, it is difficult to find problems when they occur.
Today we are thankful for clearly visualized pancreas .We can give you visual instruction.






1 comment
I want to buy medicine